
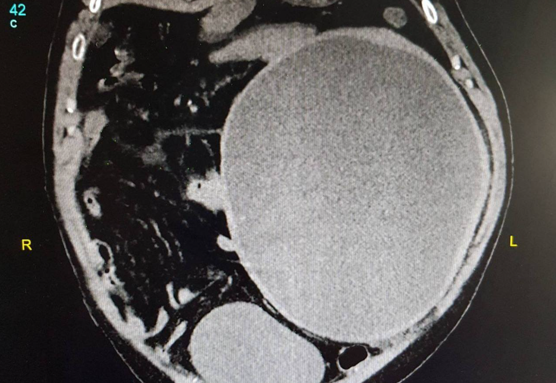
Hirurški tim Klinike za opštu i abdominalnu hirurgiju UKC Srpske izveo je kompleksan operativni zahvat - odstranjenja gigantske ciste slezine.
Riječ je o cisti slezine dijagnostikovane KT-om abdomena i male karlice koja zauzima kompletan lijevi hemiabdomen, veličine 22,5x21x26,5 centimetara.
Operativni zahvat je izveden kod pacijenta starosti 50 godina kojem opisana cista već duži vremenski period predstavlja problem te ugrožava rad unutrašnjih organa sa mogućnosti da dođe do rupture (puknuća) slezine i masivnog unutrašnjeg krvarenja.
- Izvođenjem ovog zahvata pacijentu je spašen život - navode iz UKC-a Srpske.
Hirurški tim koji je izveo operativni zahvat činili su: operater dr Dalibor Šaran, specijalista opšte hirurgije, asistenti prim. dr Miroslav Regoda, specijalista opšte hirurgije dr Darko Regojević, specijalizant abdominalne hirurgije dr Ljubiša Tomić i Dragana Vasilić, instrumentarka.
(Vijesti.ba)